Νομάδες, περιφερόμενοι ή περιπλανώμενοι θίασοι, μετακινούμενα καραβάνια είναι μερικoί από τους χαρακτηρισμούς των γιατρών που λειτουργούν με το “εντέλλεσθε”. Οι προσφορές -οικονομικά στέγη από τα νησιά θυμίζει παλαιότερη προφορά σε τσομπάνους για καλύβα με τηλεόραση. Η όλη κατάσταση θυμίζει τη ταινία του Σέρβου Α. Πέτροβιτς 1967 “Συνάντησα και Ευτυχισμένους Τσιγγάνους”.
Οσον αναφορά το ΕΣΥ/ΤΕΠ κοσμογονία

Βραχιολάκια, ηλεκτρονικός φάκελος, Diagnosis Related Group, 1566(κέντρο πληροφόρησης ΕΟΠΠΥ), myhealth up, πρόγραμμα ΠΡΟΛΑΜΒΑΝΩ και όταν δεν αρκούν αυτά λέμε και καμιά παπαριά να περνάει η ώρα.
Συνάδελφοι – Συναδέλφισσες Έλάχιστο δείγμα από το πρωτοποριακό συνέδριο BIOTECH 25 των Σπ. Δευτεραίου, Θ. Παπαιωάννου(καθηγητής Βιοιατρικής Τεχνολογίας Ιατρικής ΕΚΠΑ) και Δ. Βραχάτη. Ο πρώτος επιβεβαίωσε τις δυνατότητές του στη καινοτομία (innovation) και όσο για τον τρίτο απλά σημειώστε το όνομά τoυ. Στη σειρά η καρδιολογία είναι μετά την ακτινολογία που θα “Πληγεί” από την ΑΙ


LLM: Large Language Μodel


Από ΣΥΓΓΕΝΗ ΣΥΝΕΔΡΙΑ
ESC Heart Failure 2025 Belgrade Moνο subgroup analysis. H finerenone μειώνει τις επανεισαγωγές σ ασθενείς με ΚΑ. Bhatt AS, Vaduganathan M, Claggett BL, et al. Effects of finerenone on readmissions for heart failure: insights from the FINEARTS-HF trial. J Card Fail. 2025;Epub ahead of print
TITRATE-HF: Use of GDMT for HF Is Getting Better but Still Not Ideal: easier said than done!
European Stroke Organisation Conference (ESOC)Helsinki, 21-23 May 2025.
H EΦ τενεκτεπλάση(bolus 0.25 mg/kg -maximum 25 mg) όταν προηγείται της ενδαγγειακής θρομβεκτομής σ ασθενείς με εγκεφαλικό <4.5 ώρες απόφραξης μεγάλου αγγείου υπερέχει της απλής θρομβεκτομής(καλύτερη λειτουργική ικανότητα στις 90 ημέρες. In terms of safety, the two groups had similar rates of symptomatic intracranial hemorrhage within 48 hours (8.5% in the tenecteplase group vs 6.7% in the control group; P = 0.33) and death within 90 days (22.3% vs 19.9%; P = 0.39). Qiu Z, Li F, Sang H, et al. Intravenous tenecteplase before thrombectomy in stroke. BRIDGE-TNK trial. N Engl J Med. 2025; Epub ahead of print.
Οι ίδιοι ερευνητές έχουν σχεδιάσει καινούργια μελέτη BRIDGE-TNK EXTEND για χορήγηση τενεκτεπλάσης μεταξύ 4.5 και 24 ωρών από την έναρξη του εγκεφαλικού
ΕURO PCR Παρίσι 21-23 Μαy 2025
Kαμία σπουδαία μελέτη. Ενδιαφέρον η συμμετοχή. Παρ ότι δεν έχει ίδιο βαθμό δυσκολίας με το ESC/AHA/ACC. Αbsract book GR 31 : Aλεξανδρούπολη 1, Θεσνικη/ Διαβαλκανικό 5, Αθήνα/ Ιπποκράτειο 17, ΑΤΤΙΚΟ 3, Ευαγγελισμός 1, Τζάνειο 1, Σισμανόγλειο 2, Ιωάννινα /Χατζηκώστα 1
Εκτός Αθηνών – Θεσνικής 2 και εκτός Πανεπιστημιακών κλινικών 10. Οι διοργανωτές των εγχώριων επεμβατικών συνεδρίων ας έχουν υπ όψιν τους ποιοι γράφουν και μας εκπροσωπούν! Την ιστορία δεν τη γράφουν οι παρέες και οι κολλητοί. Από 1500 Speakers/ presenters: Ελληνες 44 και 12 από ομογένεια(3% για μια μικρή χώρα δεν θα το έλεγες και άσχημα).

H μετα ανάλυση δημοσιεύτηκε στο Cathet and Cardiov Interventions, 2025; 1–10 αλλά το ενδιαφέρον είναι αλλού. Το πρώτο όνομα στην εργασία δεν έχει καν αρχίσει ειδικότητα καρδιολογίας δημοσιεύει σε δαιμονιώδεις ρυθμούς σε καλά περιοδικά. Συγχαρητήρια στο μέντορα και μακάρι να συνεχίσει έτσι …και μη καεί στη προθέρμανση. Το ελληνικό όμως παράδοξο είναι ότι ενώ κάνει τη παθολογία στο ΚΑΤ, στο καρδιολογικό συνέδριο του ομώνυμου νοσοκομείου δεν συμμετέχει! YΠΟΛΙΠΙΔΑΙΜΙΚΗ ΑΓΩΓΗ(LLT) ΣΤΗΝ ΕΛΛΑΔΑ , Hell Journal of Cardiology (2025), in press

Η πιο συχνά χρησιμοποιούμενη στατίνη είναι η ατορβαστατίνη, και το “παιγνίδι” το έχουν οι γενικοί γιατροί και παθολόγοι( κάτι ξέρουν οι εταιρείες και χρηματοδοτούν συνέδρια των γενικών γιατρών)
Από τα υπόλοιπα ο επιπολασμός-prevalence ή πόσοι έπαιρναν στεατίνη το 2021) 23.4% και η επίπτωση(incidence) πόσοι πρώτο άρχισαν το 2021 3.6%.
ΧΡΟΝΙΕΣ ΟΛΙΚΕΣ ΑΠΟΦΡΑΞΕΙΣ
Despite several advances over more than 3 decades, CTO/PCI continue to be challenging, sometimes unsuccessful and sometimes complicated procedures, especially when performed by less experienced operators. Από την εισαγωγή ανασκόπησης του κορυφαίου CTO στον κόσμο. Emmanouil S. Brilakis. Chronic Total Occlusion Percutaneous Coronary Intervention: The Present and the Future Am J Cardiol 2025 246 July 01 In press
Kριτρια φια την ετερογενή υπερχοληστερολεμια (Φ Μπάρκας)
ΝΟΣΟΣ ΚΑΡΩΤΙΔΩΝ: Eπεμβατική Διόρθωση ή Παρακολούθηση; Το αιώνιο ερώτημα
Atherosclerosis of the extracranial internal carotid artery (ICA) causes 10–20% of ischaemic strokes. As luminal stenosis of the ICA grows, the risk of ischaemic stroke increases, and removal of the atherosclerotic plaque reduces the risk of ischaemic stroke. Current guidelines recommend carotid revascularisation by endarterectomy or stenting for patients with symptomatic carotid stenosis of 50–99% and for patients with asymptomatic carotid stenosis of 60–99%, if they are considered to be at increased risk of stroke. No evidence for a benefit of revascularization(κυρίως χειρουργικά) in addition to OMT was found in the first 2 years following treatment for patients with asymptomatic or symptomatic carotid stenosis of 50% or greater with a low or intermediate predicted stroke risk (assessed by the CAR score).

Τhe results support treating patients with asymptomatic and low or intermediate risk symptomatic carotid stenosis with OMT alone until further data from the 5-year analysis of ECST-2 and other trials become available. Donners, SJA ∙ van Velzen, TJ ∙ Cheng, SF ∙ et al. Optimised medical therapy alone vs optimised medical therapy plus revascularisation for asymptomatic or low-to-intermediate risk symptomatic carotid stenosis. Lancet Neurol. 2025; 24:389-399 Mετα ανάλυση 9 μελετών που συνέκριναν τη κατάλυση κοιλιακών ταχυκαρδιών μετα από ΕΜ σε σύγκριση με τη φαρμακευτική αγωγή δεν έδειξε διαφορά στη θνητότητα αλλά μόνο στην υποτροπή και τις νοσηλείες . Reddy RK et al. JACC Clin Electrophys 2025 in press

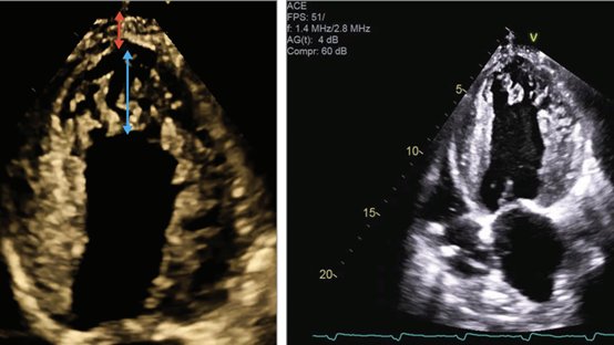
Left Ventricular Noncompaction(? Μη συμπαγές) Cardiomyopathy JAMA Cardiology online May 21, 2025

48 χρονος άνδρας παρουσιάσθηκε στα ΤΕΠ με δύσπνοια και εικόνα shock. Color Doppler. The red arrow indicates the length of the noncompacted LV segment, and the blue arrow represents the compacted segment. For more … Circ Cardiovasc Imaging. 2020;13(1):e009712. OΞΕΙΑ ΘΡΟΜΒΩΣΗ ΤΗΣ ΑΝΩ ΜΕΣΕΝΤΕΡΙΟΥ ΦΛΕΒΑΣ n engl j med 392;20 May 29, 2025

A 68-year-old man with cirrhosis presented to the emergency department with a 2-day history of severe abdominal pain. On PE, hypoactive bowel sounds, pain with palpation, and rebound tenderness throughout the abdomen were noted. CT of the abdomen with administration of contrast material showed thrombosis of the superior mesenteric vein ( A, arrows). A long segment of small bowel in the right lower quadrant of the abdomen showed increased wall thickness and decreased enhancement (B, asterisks). Cirrhosis of the liver and a few esophageal and paraumbilical varices were also seen. Owing to concern for bowel ischemia, an exploratory laparotomy was performed, during which dusky bowel extending from the distal jejunum to the proximal ileum was seen (C). A diagnosis of acute superior mesenteric vein thrombosis complicated by small-bowel infarction was made. Resection of the infarcted bowel, transvenous thrombolysis and thrombectomy, and a primary anastomosis were performed. The patient was discharged home on postoperative day 14 with a prescription for long-term apixaban. An extensive workup for causes of mesenteric vein thrombosis identified only the patient’s known cirrhosis. At a 5-month follow-up visit, he was doing well, and imaging showed resolution of thrombosis; he has continued to receive long-term anticoagulation therapy

που λέει ο λαός “Θέλεις να αγιάσεις αλλά …
For weekenders!

τέρμα τα Kapsis & Creta Mare

Από το πρόγραμμα …όπου τα στερνά τιμούν τα πρώτα!
Βest regards!
Γουδέβενος Γιάννης Γιάννινα
