Συνάδελφοι Συναδέλφισες
Παραλήρημα με τις Τελετές Εναρξης Επιστημονικών Συνεδρίων
Ιερωμένοι
Πρυτάνεις συνήθως στέλνουν video
Πολιτικοί (Υπουργοί, βουλευτές, πολιτευτές) δώσε τους μικρόφωνο και πάρτους τη ζωή
Περιφερειάρχες, Δήμαρχοι, Αντιδήμαρχοι
Πρόεδροι , αντιπρόεδροι, σωματεία, σύλλογοι, ομοσπονδίες και κάθε είδος μαιδανού
Τοπικές Μπάντες Χορευτικά (όχι ακόμα cheergirls)
Ολοι τελειώνουν με το κλασσικό “με αγωνία αναμένουμε τα συμπεράσματα του συνεδρίου”
Στη διάρκεια των χαιρετισμών βάρα να μην έχει match. Ολοι στα κινητά τους. Στο τέλος κάθε χαιρετισμού το χειροκρότημα είναι κατά 75% ένδειξη ανακούφισης και όχι επικρότησης των λεχθέντων.
Για τις βραβεύσεις ΠΡΟΣΕΧΩΣ
Post–Myocardial Infarction Psychological Distress: A Scientific Statement From the American Heart Association. Circulation 2025 in press

posttraumatic stress disorder (PTSD)


Χαιρετίζουμε την Πρόταση της ΕΚΕ στο υπουργείο Μεταφορών για σύνδεση της χορήγησης διπλώματος οδήγησης με εκπαίδευση στην ΚΑΡΠΑ!

Πόσα χρόνια το φωνάζει ο Θανάσης ο Δρίτσας εδώ;Τώρα και AI στηθοσκόπιο !!!

θα χρειαστεί οι μελλοντικοί γιατροί να κατακτήσουν τις παραδοσιακές δεξιότητες στο κρεβάτι του ασθενούς (όπως η ψηλάφηση και η ακρόαση) ή τα εργαλεία που βασίζονται στην τεχνητή νοημοσύνη θα επαναπροσδιορίσουν τι σημαίνουν οι «βασικές δεξιότητες» στην ιατρική; Ο Ρενέ Λενέκ (Rene-Theophile-Hyacinthe Laennec) (1781-1826) κατασκεύασε το 1816 το πρώτο μονό (ακρόαση μόνο από το ένα αυτί) στηθοσκόπιο, που καθιστούσε τους ήχους διαυγέστερους ενώ ταυτόχρονα μείωνε την αμηχανία γιατρού και ασθενούς.

Με την είσοδο των υπερήχων στην αρχή ο υπέρηχος επιβεβαιωνε ένα καλό ακουστικό. Στη συνέχεια το προσπέρασε και οι εποχές που ολοι έπρεπε να ακούμε ότι είχε ακούσει ο καθηγητής πέρασαν ανεπιστρεπτί. Όσοι εξετάστηκαν με τη χρήση του νέου εργαλείου είχαν διπλάσιες πιθανότητες να διαγνωστούν με καρδιακή ανεπάρκεια, σε σύγκριση με παρόμοιους ασθενείς που δεν εξετάστηκαν με την τεχνολογία. Οι ασθενείς είχαν τριπλάσιες πιθανότητες να διαγνωστούν με κολπική μαρμαρυγή kai σχεδόν διπλάσιες πιθανότητες να διαγνωστούν με βαλβιδοπάθεια. Artificial intelligence (AI)-based stethoscopes can accurately diagnose left-sided valvular heart disease (VHD), JACC: Advances in press Και μελέτη στο ESC 25.

“Reliance on echocardiography over the past decades has led to underuse of auscultation by the clinician. It should not be ignored that cardiac auscultation plays an extremely important auxiliary role in the diagnosis of VHD
ESC 25


To αναπάντητο ερώτημα

QUIZES ECG
40 χρονη διαβητική παρουσιάσθηκε με δυνατό πόνο στο δεξιό ημιθωράκιο με αντανάκλαση στο δεξί χέρι διάρκειας 2 ωρών
Τι δείχνει το πρώτο ΗΚΓ και τι διορθώσεις έγιναν στα ηλεκτρόδια των άκρων για το δεύτερο


Δεξιοκαρδία with situs inversus και πρόσθιο STEMI . Aλλαγή στα ηλεκτρόδια των άνω άκρων. Circulation. 2025;152:560–562
Global negativity in lead I (negative P wave, T wave, and QRS), inverted P wave in lead II, and poor precordial R-wave progression are important clues of dextrocardia on ECG.
• In dextrocardia with inferior STEMI, the inferior leads show ST elevation per usual. While with anterior STEMI, precordial ST elevation is limited to V1. Reciprocal inferior ST depressions are an important clue to the diagnosis.
• Reversing upper-limb leads and placing precordial leads on the right side of the chest restores normal ECG orientation and helps reveal the true ischemic pattern.
• aVR, the often neglected lead on ECG, offers crucial diagnostic information in cases of ACS and dextrocardia.
50 χρονος παρουσιάσθηκε στα ΤΕΠ με υπότροπα επεισόδια δύσπνοιας, βήχα και αισθήματος παλμών. Εκτός από ΣΔ είχε ελεύθερο ατομικό και κληρονομικό ιστορικό.

σ. BRUGADA και πρόσθιο STEMI. JAMA Cardiology August 2025 Volume 10, Number 8
48- χρονος παρουσιάσθηκε στα ΤΕΠ με επιδεινούμενη δύσπνοια και εικόνα καρδιογενούς shock

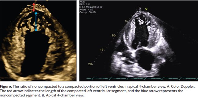
Noncompaction αριστ κοιλίας . JAMA Cardiology August 2025 Volume 10, Number 8
ANTIΠΗΚΤΙΚΑ ΣΕ ΠΝΕΥΜΟΝΙΚΗ ΥΠΕΡΤΑΣΗ
To Anticoagulate or Not to Anticoagulate in Pulmonary Arterial Hypertension… That Is the Question!
Σύμφωνα με μελέτη καταγραφής και μετα ανάλυση δεν συνιστάται ρουτίνα χορήγηση αντιπηκτικής αγωγής. Bertoletti L, Escal J, Boucly A, et al. Association between anticoagulant therapy and survival in pulmonary arterial hypertension: a registry report and updated meta-analysis. J Am Coll Cardiol. 2025;86(13):982–995.
Οξέα Εγκεφαλικά
Χορήγηση τιροφιμπάνης(IIb/IIIa inh) πριν την θρομβόλυση(αλτεπλάση 76%) σε <4.5 ώρες σε οξέα ΑΕΕ βελτιώνει την λειτουργική κατάσταση των ασθενών. 24 ωρες μετά τη θρομβόλυση το 65% ξεκίνησε διπλή αντιαιμοπεταλιακή και το υπόλοιπο μονή. ASSET IT trial N Engl J Med 2025;393:1191-1201

Περισσότερα στο

Για 40η χρονιά( Κώστα και στα100) kick off στις ΤΡΙΤΕΣ του ΙΠΠΟΚΡΑΤΕΙΟΥ
έναρξη 7 Οκτωβρίου 8 το απόγευμα διαδικτυακά https://www.livemedia.gr/ipo2025
Συναδελφικά
Γουδέβενος Γιάννης Γιάννινα
