Συνάδελφοι Συναδέλφισσες
Mε επιτυχία τα πρώτα ablation KM στο ΠΠΓΝ Ιωαννίνων. Χρ Κατσούρας, K. Ζέκιος. Το θέμα; ο σπάνιος συνδυασμός: Περιφέρεια και Δημόσιο μαζί!

Νέο αιμοδυναμικό στη καρδιολογική των Αγ Αναργύρων. Mπράβο Χάρη. Ηταν Δίκαιο και έγινε Πράξη!
H νέα ταινία “ τελευταία πνοή» του Κώστα Γαβρά εστιάζει στο θέμα της πτης ευθανασίας(θάνατος με αξιοπρέπεια). Eνημερωτικά ο Χάρης Γαβράς καθηγητής υπέρτασης στη Βοστώνη είναι αδελφός του. Σπουδαίοι Ελληνες της διασποράς με κύριο χαρακτηριστικό την αγάπη τους για την Ελλάδα
Evangelos K. Oikonomou, Associate Editor, Digital Health team στο Eur Hear J. Πάντα τέτοια σ ένα σημείο που η Ελλ καρδιολογική κοινότητα πάσχει.
Συγκροτήθηκε Oμάδα εργασίας Αθλιατρικής στο ΚΕΣΥ. Στο 5 μελες Συμβούλιο και ένας καρδιολόγος: Σπ. Παπαιωάννου . Οι υπόλοιποι 3 Ορθοπεδικοί και μια Φυσίατρος.
ΚΑΡΔΙΟΛΟΓΙΚΗ ΕΝΗΜΕΡΩΣΗ

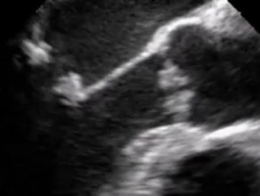
ή Μαραντική Ενδοκαρδίτιδα

Kissing sign. Oι εκβλαστήσεις είναι στα άκρα τω γλωχίνων και δίνουν εικόνα σαν αν φιλιούνται,


Διαφοροδιάγνωση
Θεραπευτικά όχι DOACs, αλλά για μακροχρόνια ΑΒΚ και βραχυχρόνια ηπαρίνη. Προσοχή στη οξεία φάση λόγω εμβολικών ΑΕΕ
JOURNAL CLUB
Στη Δανία οι μισοί από τους αιφνίδιους καρδιακούς θανάτους δεν έχουν ιστορικό KΑ νόσου. Σ ένα χρόνο 6,851 SCD cases were identified, of which 3,046 (44.5%) had no history of CVD. Τη δική μας μελέτη στη ΒΔ Ελλάδα ηλικίας <70 ετών ποσοστό χωρίς ΚΑΝ ήταν 40%. Intern J of Cardiol 1995; 49: 67-75
Sudden Cardiac Death as First Manifestation of Cardiovascular Disease: A Nationwide Study of 54,028 Deaths JACC clin Electr 2025 in pres
Nέα Guidelines (προηγούμενα 2013 STEMI, 2014 NSTEMI, ESC 2023)για τα ΟΣΣ (STEMI και NSTEMI, type 1 όχι 2, ΜΙΝΟCA ή ΑΝΟCA). Όχι κάτι νέο συγκλονιστικό.
Take home message
- Dual antiplatelet therapy(D APT) – Ticagrelor or prasugrel is recommended in preference to clopidogrel in patients with ACS who are undergoing PCI. In patients with NSTEMI who are scheduled for an invasive strategy with timing of angiography to be >24 hours, upstream treatment with clopidogrel or ticagrelor may be considered to reduce major adverse CV events.
2. DAPT (aspirin and an oral P2Y12 inhibitor) is indicated for at least 12 months as the default strategy in patients with ACS who are not at high bleeding risk. Several strategies are available to reduce bleeding risk in patients with ACS who have undergone PCI and require APT: (a) in patients at risk for GI, PPI is recommended; (b) in patients who have tolerated DAPT with ticagrelor, transition to ticagrelor monotherapy is recommended >1 month after PCI; or (c) in patients who require long-term anticoagulation, aspirin discontinuation is recommended 1 to 4 weeks after PCI with continued use of a clopidogrel.
3. High-intensity statin therapy is recommended for all patients with ACS, and with the option to initiate concurrent ezetimibe. A nonstatin lipid-lowering agent (eg, ezetimibe, evolocumab, alirocumab, inclisiran, bempedoic acid) is recommended for patients already on maximally tolerated statin who have a LDL-C of >70mg/dL (1.8 mmol/L). It is reasonable in this high-risk population to further intensify lipid-lowering therapy if the LDL C is 55 to <70 mg/dL and patient is already on a maximally tolerated statin.
4. In patients with nonSTEMI who are at intermediate or high risk of ischemic events, an invasive approach with the intent to proceed with revascularization is recommended during hospitalization to reduce major adverse cardiovascular events. In patients at low risk of ischemic events, a routine invasive or selective invasive approach with further risk stratification is recommended to help identify those who may require revascularization and to reduce major adverse CV events.
5. Two procedural strategies are recommended in patients who are undergoing PCI: (a) radial approach is preferred over femoral approach to reduce bleeding, vascular complications, and death; and (b) intracoronary imaging is recommended to guide PCI in patients with complex coronary lesions.
6. A strategy of complete revascularization is recommended in patients with STEMI. The choice of revascularization method (ie, CABG vs multivessel PCI) in nonSTEMI should be based on the complexity of the CAD and comorbid conditions. PCI of significant nonculprit stenoses for patients with STEMI can be performed in a single procedure or staged with some preference toward performing multivessel PCI in a single procedure. In patients with ACS and cardiogenic shock, emergency revascularization of the culprit vessel is indicated.
7. Based on one trial, use of the microaxial flow pump in selected patients with cardiogenic shock related to ΑΜΙ is reasonable to reduce death. However, complications are higher with the microaxial flow pump compared with usual care.
8. Red blood cell transfusion to maintain a hemoglobin of 10 g/dL may be reasonable in patients with ACS and acute or chronic anemia who are not actively bleeding.
9. After discharge, focus on secondary prevention is fundamental. A fasting lipid panel is recommended 4 to 8 weeks after initiating or adjusting the dose of lipid-lowering therapy. Περισσότερα προσεχώς.
Rao SV, O’Donoghue ML, Ruel M, et al. 2025 ACC/AHA/ACEP/NAEMSP/SCAI guideline for the management of patients with acute coronary syndromes. JACC και Circulation . 2025;Epub ahead of print.
ΕΠΑΝΕΝΑΡΞΗ ΑΝΤΙΠΗΚΤΙΚΏΝ ΜΕΤΑ ΕΓΚΕΦΑΛΙΚΗ ΑΙΜΟΡΡΑΓΙΑ(ICH). Ευτυχώς που το θεραπευτικό δίλλημα είναι σπάνιο
Re-bleeding in people with previous stroke due to spontaneous (non-traumatic) ICH is one of the biggest concerns, because of a high 1-month case fatality (36%), poor functional outcome, and 3% annual risk of recurrent ICH alongside an 8% annual risk of all major adverse CV events. To ερώτημα για το πως θα αντιμετωπίσουμε τον ασθενή με ΚΜ υπό αντιπηκτικά που υπέστη ICH συνεχίζεται παρα τη μεγαλύτερη τυχαιοποιημενη μελέτη
Veltkamp, R ∙ Korompoki, E ∙ Harvey, KH ∙ et al. Direct oral anticoagulants versus no anticoagulation for the prevention of stroke in survivors of intracerebral haemorrhage with atrial fibrillation (PRESTIGE-AF): Lancet. 2025; published online Feb 26
ΑΝΑΒΟΛΙΚΑ στους ΑΘΛΗΤΕΣH (κατά)χρήση αναβολικών ανδρογόνων στεροειδών σχετίζεται με αυξημένο καρδιαγγειακό κίνδυνο σε χρονική διάρκεια παρακολούθησης 11 ετών

Circulation. 2025;151:00–00. DOI: 10.1161/CIRCULATIONAHA.124.071117
ΧΡΗΣΗ ΑΝΤΙΣΥΛΛΗΠΤΙΚΩΝ
Ο κίνδυνος από τα αντισυλληπτικά έχει επικεντρωθεί στη θρομβοφλεβίτιδα(πρώτο περιεγράφηκε το 1961 που πρώτο κυκλοφόρησαν). Μελέτη έδειξε ότι κίνδυνος για θρομβοφλεβίτιδα ποικίλει ανάλογα με το τύπο και είναι ανεξάρτητος του βάρους, του καπνίσματος και του οικογενειακού ιστορικού. O Κίνδυνος μεγαλύτερος από το 3ης γενιάς προγεστινοειδή καθώς επίσης και στα συνδυαστικά χάπια.

JAMA. 025;doi:10.1001/jama.2024.28778
Η ίδια ερευνητική ομάδα από τη Δανία nationwide, prospective cohort (1996-21) έδειξε ότι ο απόλυτος καρδιαγγειακός κίνδυνος(ισχαιμικό εγκεφαλικό, ΕΜ) από τη χρήση αντισυλληπτικών είναι μεν μικρός αλλά ο σχετικός αυξημένος(διπλάσιος).

Η χρήση συνδυασμού έχει διπλάσιο κίνδυνο και μόνο η ενδοσκοπική προγεστίνη δεν είχε κίνδυνο. BMJ 2025;388:e082801
Καινούργια αντιθρομβωτικά για την Φλεβική Θρομβοεμβολική Νόσο
πέρα των DOACs και θρομβόλυσης όπως αναστολείς παράγοντα ΧΙ, ανταγωνιστές ενεργοποιητή πλασμινογόνου(PAI 1), ανταγωνιστές πλασμίνης(α2 αντιπλασμίνη) και στατίνες!

PTS μετα θρομβωτικο σύνδρομο. Singh S, Kumar P, Yadav SK, et al. Recent pathophysiological insights are advancing the treatment of venous thromboembolism. JACC: Basic to Translational Science. Published online February 26, 2025. doi:10.1016/j.jacbts.2024.12.004

Kapogiannis D, of the National Institute on Aging et al(USA). Brain responses to intermittent fasting and the healthy living diet in older adults. Cell Metab. 2024;36:1668- 1678.
ΠΕΡΙΣΤΑΤΙΚΟ ΕΒΔΟΜΑΔΑΣ Γυναίκα 54 ετών μετά CABG προσέρχεται παραπονούμενη για αδυναμία και δυσφορία στο στήθος μη σχετιζόμενη με τη χειρουργική τομή. Τι δείχνει το ΗΚΓ;

Η απάντηση στο τέλος
Αυτό το week end Ναύπλιο

Για όσους μείνουν στο κλινόν άστυ

στο Αμφιθέατρο του Μουσείου Μπενάκη Πειραιώς 138
ΑΠΑΝΤΗΣΗ ΣΤΟ ΠΕΡΙΣΤΑΤΙΚΟ

Ρυθμική Ταχυκαρδία(130 /min) με δεξιό άξονα(oπίσθιος ημισκελικός) και ηλεκτρική εναλλαγή. Η διάγνωση ήταν περικαρδιακή συλλογή και το χαρακτηριστικο είναι η εναλλαγή των P στην avR
Συναδελφικά
Γουδέβενος Γιάννης Γιάννινα
